Диагностика и лечение
Лечение воспалённой верхнечелюстной пазухи, как и любого другого заболевания, начинается с диагностики и определения причин, приведших к воспалительному процессу. Одонтогенный гайморит — коварное заболевание, которое необходимо лечить под контролем врача — оториноларинголога. Он выявит точную причину болезни и расскажет, как лечить недуг.
Диагностика начинается с осмотра пазух. Наиболее эффективный способ изучения носовой полости — это эндоскопия. Для выявления и лечения больного зуба, вызвавшего воспаление, пациента направляют на рентгенологическое исследование, а в особо тяжёлых случаях на компьютерную томографию.
Эффективное лечение состоит из нескольких этапов. Традиционно, первый этап лечения заключается в устранении причины загноения. Если первопричина заболевания — проблемный зуб, то на начальном этапе болезнь лечится удалением зуба. Проводится удаление в стамотологии — прежде чем удалить зуб, нужно со всей ответственностью подойти к выбору клиники, поскольку неопытный врач может только усугубить ситуацию.

Если мы имеем дело с перфорацией гайморовой пазухи и проникновением в неё, например, части материала для пломбирования зуба — в этом случае показано хирургическое лечение. Операция проводится с целью удаления из пазухи инородного тела и последующим устранением места дефекта.
Если гайморит без перфорации, чтобы высвободить из пазухи гнойный массы, проводится пункция (прокол) верхнечелюстной пазухи.
Устрание симптомов заключается в приёме антибактериальных препаратов, промываниях носовой полости, использовании сосудосуживающих капель, а также проведении физиопроцедур.
Лечение всех форм гайморита — это профиль нашей клиники! Высококвалифицированные лор-врачи, современное оборудование и гибкая ценовая политика — вот три составляющих успеха нашей Лор-клиники.
Если вы столкнулись с проблемой гайморита, не затягивайте с визитом к врачу!
Пожалуйста, записывайтесь на приём и приходите!
Мы Вам непременно поможем!
Всегда ваш, .
Об авторе: ЛОР врач высшей категории, кандидат мед. наук.
Почему может болеть челюсть возле уха в зависимости от локализации боли
Боль, локализованная в области верхней челюсти, может быть спровоцирована гайморитом. Недуг развивается на фоне травм черепа и носа, длительного переохлаждения, пульпита и пародонтита. Определить гайморит можно по следующим признакам: заложенность носа (обычно одной ноздри), отделение густой слизи или гноя при сморкании, гнусавый голос, повышенная температура тела.
Зона максимальной болевой чувствительности обычно располагается возле носа, но в запущенных случаях боль может распространиться на все лицо. Иногда болезнь поражает придаточные пазухи с обеих сторон, но чаще всего носит односторонний характер. Если у пациента болит челюсть только возле уха слева, и ему не больно жевать на правой стороне, значит, воспаление развивается в пазухах, расположенных слева.
И в верхней, и в нижней челюсти боль возникает по таким причинам:
- Остеомиелит – воспаление челюсти. Развивается вследствие непрофессионального лечения гайморита, удаления зубов, установки импланта либо проведения синус-лифтинга. Недуг сопровождается повышением температуры, боль может незначительно отдавать в левую или правую нижнюю челюсть.
- Гингивит – воспалительный процесс в мягких тканях десен. Для этой болезни характерны ноющая боль и кровоточивость десен. Дополнительными симптомами являются незначительное повышение температуры и появление неприятного запаха изо рта.
- Альвеолит – воспаление зубной лунки после удаления зуба. Зона болевой иннервации небольшая, температура повышена.
- Поднижнечелюстной абсцесс, флегмона.
Боль в челюсти, возникающая при жевании и сопровождающаяся дискомфортом возле уха, может указывать на такие проблемы:
- Каротидиния. Синдром может развиться вследствие расслоения височной артерии и опухолей мягких тканей, раздражающих нервные окончания, расположенные рядом с сонной артерией. Болевые ощущения приступообразны, максимально интенсивная боль выражена в верхней челюсти, отдает в область уха, шеи и полости рта. При нажатии на боковую часть шеи и участок под кадыком возникает резкая острая боль.
- Невралгия ушного узла. Может развиться вследствие перенесенной ангины, гайморита и переохлаждения. Болезнь можно распознать по жгучей, приступообразной боли, которая зарождается в области виска, проходит через ухо и распространяется вплоть до нижней челюсти и области подбородка. Сильнее всего челюсть болит при нажатии под ухом, болевых ощущений внутри ротовой полости практически нет. Характерными симптомами недуга являются щелчки в ухе и повышение слюноотделения.
- Синдром эритрооталгии. Может возникать в результате шейного спондилеза, функциональных нарушений в работе височно-нижнечелюстного сустава и поражения таламуса. При синдроме сильно болит ухо с левой стороны или справа, челюсть ноет слабее. Нередко болевой синдром затрагивает затылок и лобную зону.
Диагностика
Диагностические мероприятия осложняются тем, что, как правило, для дисфункции ВНЧС болезненность характерна не только для челюсти, но и других областей: шеи, ушей и т.д. Врач проведет подробный опрос, выяснит жалобы, осмотрит лицо, определит подвижность нижней челюсти, проведет пальпацию и аускультацию (ощупывание и прослушивание). Таким образом выявляется возможная асимметрия, отек, покраснение, а также щелканье и смещение сустава.
При необходимости назначаются дополнительные исследования:
- Рентгенография ВНЧС. Визуализирует взаиморасположение элементов в суставе, уточняет структуру кости.
- Ортопантомография. Представляет собой панорамный обзор челюстей, выявляет патологию в челюстных костях, помогает в определении дисфункции суставов.
- Компьютерная томография ВНЧС. Высокоинформативный метод обследования, позволяющий определить нарушения в структуре сустава еще на начальных стадиях болезни.
По показаниям также могут быть назначены фоноартрография, электромиография мышц, артроскопия сустава.
Лечение
Если у человека имеется дисфункция ВНЧС, не имеет смысла пытаться избавиться от боли в челюсти, не вылечив основное заболевание. Лечение патологии сустава комплексное, включает в себя:
- ношение специальной шины;
- исправление прикуса (брекеты, капы);
- протезирование зубов при необходимости;
- физиотерапевтические мероприятия.
Существенно облегчает состояние применение препаратов типа миотроникс. Для симптоматического лечения и облегчения болей в челюсти могут быть назначены обезболивающие и противовоспалительные препараты (Ибупрофен, Диклофенак и т.д., но строго по рекомендации лечащего врача). Они могут быть прописаны в различных видах: внутрь в таблетках и наружно, в виде гелей/мазей.
Как помочь себе самостоятельно?
Помимо квалифицированного лечения, при болях в челюсти очень важно соблюдение диеты и ограничение движений нижней челюсти. Стоит избегать употребления продуктов, требующих значительных жевательных усилий
На период лечения лучше принимать пищу в жидком и перетертом виде.
Ваша задача — обеспечить покой нижней челюсти. Избегайте длительных разговоров, не открывайте широко рот, при общении по телефону следите, чтобы аппарат не оказывал давления на пораженный сустав.
Запрещается употребление жевательных резинок.
Выполнение всех назначений врача и внимательное отношение к его рекомендациям создадут все условия к излечению и, соответственно, к избавлению от боли в челюсти.
-
- Кариес эмали
- Налет и зубной камень
- Запах изо рта
- Кровоточивость десен
- Воспаление и болезненность десен
-
- Удаление зуба
- Зуб мудрости
- Цистэктомия
- Гингивэктомия
- Вестибулопластика
-
- Дефекты эмали
- Протезирование зубов
- Реставрация зубов
- Имплантация зубов
- Дистрофия костной ткани
Причины болезни
Единой точки зрения на происхождение болезни нет. Ведущие звенья механизмов развития (генетические, неврологические, эндокринные) изучены пока недостаточно.
Считается, что главная роль в формировании подросткового бруксизма принадлежит нарушению нервной регуляции, вызванной стрессом и поддерживающей состояние психического и эмоционального напряжения. Дисбаланс стрессовых гормонов повышает судорожную готовность мозга, нарушает структуру сна, приводит к гиперактивности жевательных мышц. К неблагоприятному фону относятся родовые, черепно-мозговые травмы, наследственность, тяжелые нейроинфекции.
Травмы
Несчастный случай, какой-либо инцидент, например, драка, могут стать причиной травмы зуба
И неважно, откололась ли малая часть, либо зуб треснул, что называется, «до крови» — помощь врача обязательно нужна. В ряде случаев утраченная зубная ткань наращивается
Если зуб разбит вдребезги — скорее всего, потребуется его полное удаление и проставка протеза, меняющегося каждый год. А разгадка проста — зубные ткани ещё не в полной мере созрели, организм-то растёт. И беречь зубы в таком раннем возрасте необходимо всесторонне. В случае наращивания операция производится при внедрении композитных материалов, заменяющих эмаль и дентин.
Как выглядит зубная формула?
В медкарте, которую большой заводит в стоматологической клинике по месту жительства, хранятся отметки о его состоянии зубов. Чтобы избежать путаницы, врачи нумеруют зубы с каждой из сторон каждой же челюсти. Так, 1-й и 2-й зубы — резцы, 3-й — клык, 4-й и 5-й — малые коренные зубы (медики называют коренные зубы молярами), 6-й и 7-й — большие коренные. 8-й — самый дальний — «зуб мудрости», у ряда людей его нет, либо есть, но не все. Каждая из сторон челюсти также пронумерована: 1 — справа сверху, 2 — слева сверху, 3 — слева снизу, 4 — справа снизу. Например, запись 48 — не означает то, что вы — «таркатан» с боевым сверхкомплектом зубов, которого не существует. У вас попросту нет «зуба мудрости» снизу справа. Запись 41 — человек лишился одного из фронтальных резцов с той же стороны на той же челюсти. Записать формулу зубов можно и более наглядно: например, «нет 8-го зуба снизу справа».
Зачастую выходит, что из-за нехватки места на челюсти зуб мудрости развивается неправильно – он может вырасти криво, в этом случае показано его удаление. Например, он может остаться под десной, быть из-за этого поражённым кариесом, который впоследствии может перерасти в пульпит или кисту зуба. Проблемные «зубы мудрости» быстро и решительно удаляют, а их отсутствие не слишком скажется на качестве пережёвывания пищи.
К чему могут привести зуд и чувство жара в теле
Эти симптомы настолько дискомфортны, что не придать им значения просто не получится
Все внимание концентрируется на них, из-за чего человек становится невнимательным, рассеянным, появляются сбои в его профессиональной деятельности, падает работоспособность
Раздражительность и напряженность при этом достигают пикового состояния. Возможны депрессия, нервные срывы. Такое перенапряжение приводит к психическому дисбалансу. У больного нарушается сон, развивается бессонница. В итоге, днем он ощущает себя разбитым и не выспавшимся.
Сильный зуд в интимной зоне порой доводит страдальцев до того, что они применяют различные предметы, которые травмируют слизистую и кожные покровы в этой области.
Расчесы на коже и слизистых оболочках могут инфицироваться, воспаляться и нагнаиваться, распространяя процесс на более обширные зоны.
Острые язвы при Болезни Бехчета
Болезнь Бехчета – системный васкулит – характеризуется язвами полости рта и половых органов, повреждениями кожи, зрения, опорно – двигательного аппарата, сердечно – сосудистой системы, пищеварительной системы. Патология сопровождается неврологическими симптомами.
Болезнь чаще всего встречается у людей в возрасте от 20 до 40 лет из-за взаимодействия между генетическими, экологическими, инфекционными, иммунологическими и гематологическими факторами. Большие, маленькие или герпетиформные язвы появляются в полости рта, обычно на слизистой оболочке рта, деснах, губах, мягком небе и глотке. Это первый симптом заболевания.
Симптомы
Главным характерным признаком невралгии тройничного нерва является приступообразная боль. Она наступает внезапно и по своей интенсивности и скорости распространения напоминает удар электрическим током. Обычно интенсивное болевое ощущение вынуждает пациента замереть на месте в ожидании облегчения. Приступ может длиться от нескольких секунд до 2-3 минут, после чего наступает период затишья. Следующая волна боли может прийти в течение нескольких часов, дней, недель или месяцев.
Со временем длительность каждого приступа невралгии увеличивается, а периоды затишья сокращаются вплоть до развития непрерывной ноющей боли.
Провоцирующим фактором выступает раздражение триггерных точек:
- губы;
- крылья носа;
- область бровей;
- средняя часть подбородка;
- щеки;
- область наружного слухового прохода;
- ротовая полость;
- височно-нижнечелюстной сустав.
Человек нередко провоцирует приступ при выполнении гигиенических процедур (расчесывание волос, уход за полостью рта), при жевании, смехе, разговоре, зевоте и т.п.
В зависимости от места поражения боль захватывает:
- верхнюю половину головы, висок, глазницу или нос, если затронута глазная ветвь нерва;
- щеки, губы, верхнюю челюсть – при поражении верхнечелюстной ветви;
- подбородок, нижнюю челюсть, а также зону впереди уха – при невралгии нижнечелюстной ветки.
Если поражение затронуло все три ветки или сам нерв до его разделения, боль распространяется на соответствующую половину лица целиком.
Болевые ощущения сопровождаются другим нарушениями чувствительности: онемением, чувством покалывания или ползанья мурашек. С пораженной стороны может отмечаться гиперакузия (повышенная слуховая чувствительность).
Поскольку тройничный нерв содержит не только чувствительные, но и двигательные пути передачи импульсов, при невралгии наблюдается соответствующая симптоматика:
- подергивание мимической мускулатуры;
- спазмы мускулатуры век, жевательных мышц;
Третья группа проявлений невралгии – это трофические нарушения. Они связаны с резким ухудшением кровообращения и оттока лимфы. Кожа становится сухой, начинает шелушиться, появляются морщины. Наблюдается локальное поседение и даже выпадение волос в пораженной области. Страдает не только волосистая часть головы, но и брови с ресницами. Нарушение кровоснабжения десен приводят к развитию пародонтоза. В момент приступа пациент отмечает слезотечение и слюнотечение, отечность тканей лица.
Постоянные спазмы мышечных волокон с больной стороны приводят к асимметрии лица: сужению глазной щели, опущению верхнего века и брови, перемещению уголка рта вверх со здоровой стороны или опущение с больной.
Сам пациент постепенно становится нервным и раздражительным, нередко ограничивает себя в еде, поскольку жевание может стать причинной очередного приступа.
После лечения у стоматолога болит зуб, онемение губы, щеки, боль в лице и челюсти, после лечения пульпита болит зуб
Невралгия тройничного нерва периферического типа и луночковая плексалгия. Это повреждение или раздражение тройничного нерва и его ветвей – луночковых сплетений. Характерные симптомы: боль, часто жжение в челюсти и губе, боль с жгучим компонентом, возможно онемение губы, щеки, неприятные ощущения при касании. Эти симптомы могут усиливаться при накусывании. Боли могут быть монотонными, изматывающими, приводить к нервному истощению, депрессии. Чаще мы встречаем 3 варианта проблемы.
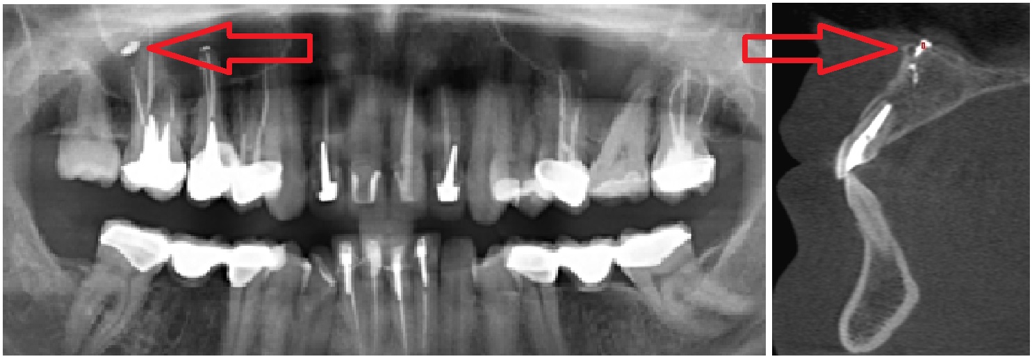
Вариант 1. Давление пломбировочным материалом на ветви тройничного нерва, луночковые нервные сплетения. После удаления нерва и пломбировки каналов болит зуб.
Стрелками показаны фрагменты пломбировочного материала (вид спереди и сбоку), который при пломбировании канала выпал за пределы зуба и «упёрся» в область залегания ветви тройничного нерва. У пациента долго болел зуб после лечения пульпита, затем онемела верхняя губа и часть щеки.
Вариант 2. Киста корня зуба раздражает ветвь тройничного нерва. Боль и онемение губы и щеки, боль при накусывании.
Стрелками показаны кисты корней зубов (вид спереди). Кисты в данном случае представляют собой замкнутые очаги инфекционного воспаления. Киста со временем набухает и создает давление на ветви тройничного нерва, отсюда онемение лица и боль. Осложнение после лечения пульпита.
Вариант 3. Онемение после удаления зуба. При повреждении тройничного нерва и его сплетений после удаления зуба может онеметь щека, губа, часть десны. Чем более извиты и деформированы корни зуба – тем выше риск повредить тройничный нерв при его удалении.
Как проверить состояние тройничного нерва. Мы предлагаем в таких случаях три способа диагностики:
1.Электромиография лица. Это исследование параметров проведения нервных импульсов по системе тройничного и лицевого нервов. В случае повреждения нерва мы регистрируем снижение его способности к проведению нервных импульсов. Подробнее про электромиографию лица
2.Рентгеновские исследования. На обычных рентгенограммах и панорамных снимках не всегда видна истинная картина болезни. Мы рекомендуем конусно-лучевую компьютерную томографию с функцией защиты от дефектов изображения от пломбировочного материала и протезов.
3.Осмотр врачом. Врач невролог видит несколько иную картину, чем стоматолог. Нам легче оценить функции нервов и мышц лица и установить источник невропатической боли. Часто именно осмотр дает больше информации, чем электромиография и рентгеновские методы.
В данном случае понимание полной картины причин проблемы – это путь к выбору оптимального лечения. Обычно это курс неврологического лечения в сочетании с решением стоматологической проблемы. Нам доводится решать проблемы 10-15-летней давности.
Острые язвы при бактериальной инфекции
Сифилис – это заболевание, передающееся половым путем, вызываемое анаэробными агентами, спирохетом Treponema pallidum, который вызывает повреждение кожи и слизистых оболочек в острой стадии заболевания.
Сифилис полости рта
Shanker – это глубокая безболезненная язва с приподнятыми и утолщенными краями как на коже, так и на слизистых оболочках гениталий или рта, характерная для первичного сифилиса. Проходит сама по себе.
Вторичный сифилис характеризуется системными симптомами, включая язвы и пятна на коже. Третичный – безболезненными узловыми язвами на деснах, твердом небе или в области языка, а также повреждением нервов и сосудов.
Для гонореи характерно несколько поражений ротовой полости: от легкой эритемы до глубоких язв, покрытых псевдомембраной.
Описание болезней, вызывающих боль в области челюсти и уха при жевании
Болевые ощущения в челюсти возле уха могут возникать по причинам стоматологического, хирургического и неврологического характера. Лечение назначается с учетом провоцирующего фактора, локализации и характера боли, сопутствующих симптомов.
Стоматологические заболевания
Ноющая боль в скулах и челюсти может появиться после стоматологических манипуляций. Часто причиной боли становится некачественное удаление зуба мудрости, лечение кариеса либо сами запущенные кариозные процессы и протезирование. Челюстная боль такого происхождения обычно сопровождается отеком и воспалением в месте операции. Если она не проходит в течение нескольких дней с момента вмешательства, следует обратиться к более квалифицированному стоматологу для устранения врачебной ошибки.
Исключением, не требующим лечения, является ноющая челюстная боль слева и справа, вызванная ношением брекетов для исправления прикуса. Такую боль вызывает постоянное давление на челюстные кости, она является нормой и устраняется с помощью обезболивающих препаратов.
Боль при ОРВИ
Основным осложнением респираторных заболеваний является распространение инфекции по всему организму. Воспалительный процесс, как осложнение ОРВИ, может начаться в любой части тела – легких, кишечнике, коленях, боку, ротовой полости. Вот почему скулы и челюсть могут болеть при насморке и обычной простуде.
Если максимальная болезненность наблюдается между верхнечелюстной и нижнечелюстной дугой, причина чаще всего кроется в том, что из-за притока бактерий и вирусов воспалился суставной мешок. При данной патологии челюсть болит возле уха и не во время жевания, а постоянно.
При воспалении ушной раковины может болеть скула возле уха. Обычно более интенсивно болит именно ухо, а в челюсть боль только отдает. Такое воспаление часто сопровождается общим недомоганием и повышением температуры до 37,5–38 °C. На лечении людей с осложнениями респираторных заболеваний специализируются врачи-отоларингологи.
Болевые ощущения в результате лицевых травм
- Ушиб мягких тканей. Даже несильный ушиб мягких тканей без затрагивания костей сопровождается острым болевым приступом, отечностью и гематомой. Чтобы исключить вероятность перелома, который может не пальпироваться из-за того, что опухла щека, необходимо сделать рентген-снимок. Лечить последствия такой травмы следует в том случае, если симптомы не исчезли в течение нескольких дней.
- Вывих. Вывих может возникнуть не только из-за удара, но и из-за резкого открывания рта. При сильном вывихе даже простое жевательное и глотательное движение дается с большим трудом. После того как хирург визуально установит вывих, он сделает контрольный снимок, чтобы исключить перелом, а затем вправит его. Вывихи характерны только для нижней челюсти, поэтому и боль проявляется снизу.
- Перелом. При переломе возникает нестерпимая боль вокруг места травмы, распространяющаяся на все лицо. Пострадавшему требуется немедленная медицинская помощь в лечебном учреждении.
Вывих челюсти
Опухоли
Ухо и челюсть с одной стороны могут болеть при формировании костной опухоли – как доброкачественной, так и рака. До появления специфической симптоматики наблюдается онемение в мышцах, слабовыраженные отеки, припухлости и дискомфорт в суставах. При наличии опухоли под тем же ухом, в области которого ноет челюсть, высока вероятность развития атеромы – доброкачественного новообразования. Атерому можно вылечить.
Дисфункция ВНЧС
Для заболеваний височно-нижнечелюстного сустава не характерен спонтанный болевой синдром, болевые ощущения проявляются только при надавливании или оказании нагрузки на сустав. При дисфункции ВНЧС человеку больно пережевывать пищу, говорить, зевать. Но диагностируют болезнь по более явным признакам – щелчкам и хрусту сустава при пережевывании и разговоре, шуму в ушах.
Для суставных патологий характерно поражение одной стороны лица. Если при надавливании боль возникла в левом ухе и левой стороне челюсти, значит, заболевание развивается там же.
В каждом стоматологическом центре сети «Никадент» Вас ждет:
Мощная лечебно-диагностическая база
Специалисты с большим опытом используют современное оборудование, прогрессивные методы терапии, и качественные материалы. А лучшая анестезия позволяет лечить без боли.
Широкий спектр услуг
Мы предлагаем: срочную стоматологическую помощь, лечение любых зубных заболеваний, профессиональную гигиену полости рта, протезирование и восстановление зубов, а также эстетическую стоматологию.
Лучшие условия
Вас ждут высокий уровень медицинского обслуживания, чистые кабинеты, и комфортные кресла. А также исчерпывающие консультации врача-стоматолога, доступные цены и программа лояльности.
Нервные тики у детей
Подобные расстройства в детском возрасте бывают нескольких видов.
Проходящее тиковое расстройство начинает проявляться в раннем школьном возрасте. Его длительность составляет от 1 месяца до 1 года. Чаще случаются двигательные виды тика. В основном характерны для детей с задержкой развития и с аутизмом.
Хроническое расстройство случается в возрасте до 18 лет. И длится от 1 года и выше. При этом развиваются либо двигательные, либо вокальные тики. Чем в более раннем возрасте проявились патологические симптомы, тем легче и быстрее они проходят.
Синдром Туретта – множественное тиковое расстройство, характеризующееся как моторными, так и двигательными его видами. Тяжелое заболевание, которое с возрастом, однако, смягчается.
Особый вид недуга, для которого также характерны признаки нервного типа – малая хорея. Он развивается на фоне инфекций, вызванных стрептококком: ангина, тонзиллит, ревматизм. Сопровождается патологическими изменениями нервной ткани.
Наряду с гиперкинезами, эмоциональной неустойчивостью, раздражением, неусидчивостью и беспокойством, данному состоянию соответствуют невротические изменения лица. Они выражаются в напряжении и спазмировании лицевых мышц, что часто принимают за гримасничанье. Наблюдается также спазм гортани, проявляющийся в неадекватных криках.
В школе таким детям, не зная истинную причину гиперкинезов лица, да еще и в сочетании с повышенной активностью, делают замечания, выгоняют из класса. Подобное отношение к ребенку вынуждает его пропускать школьные занятия, избегать походов в школу. Лечение малой хореи, наряду с назначением успокоительных средств, включает в себя антибиотики для борьбы с инфекцией и противовоспалительные препараты.
Нервный тик накладывает на психику ребенка более тяжелый отпечаток, чем на взрослого. Он нередко становится причиной тревожности и отстраненности, ухода в себя, даже провоцирует депрессивные расстройства. Вызывает нарушения сна, речевые затруднения, сложности в обучении.
Тиковые расстройства приводят к искаженному самовосприятию, снижению самооценки.
Родителям таких детей советуют не акцентировать внимание ребенка на проблеме. Наоборот, рекомендуют найти способы переключения внимания и повышения самооценки
Особое место уделяется группам поддержки таких людей и общению в принципе.
Общие заболевания, провоцирующие боли в горле и ухе
| Патология | Чем характеризуется? |
|---|---|
| Дифтерия | Острое инфекционное заболевание, развивающееся вследствие воздействия бактериальных агентов. Оно проявляется развитием фибринозных воспалительных процессов в области внедрения последнего. Чаще всего это верхние дыхательные пути, бронхи или слизистая ротоглотки. |
| Корь | Острое инфекционное вирусное заболевание, проявляющееся появлением сыпи на коже, повышением температуры и болевой симптоматикой в горле, иррадиирущей в ухо. Его осложнением нередко становится отит, который также провоцирует боли. |
| Скарлатина | Острые инфекционные процессы, которые начинаются с ангины и характеризуются преимущественным поражением ротоглотки, а также ярко выраженной интоксикацией. |
Хирургическое лечение дисфункции ВНЧС
Хирургическое лечение нарушения функций ВНЧС подразумевает эндопротезирование или артроскопию.
Артроскопическая операция предполагает использование тонкой трубки с видеокамерой на конце. С ее помощью удается визуализировать состояние сустава пациента и проконтролировать ход операции. При артроскопии хирург удаляет спайки, может скорректировать положение челюстного диска, воздействовать точечной на области воспаления. Также стоматолог тщательно промывает челюстной сустав антисептическими составами для обеззараживания зоны воспаления. Вводятся противовоспалительные препараты. Таким образом, снимается блокировка движений, уходят характерные щелчки, состояние пациента постепенно нормализуется.
Как один из вариантов решения проблемы, хирург-стоматолог может рекомендовать эндопротезирование. Речь идет о замене частей сочленения имплантами. Например, часто выполняется установка углепластикового эндопротеза.
При артроцентезе хирург очищает сустав, прокалывая его специальной иглой, пропуская через суставную полость стерильную жидкость.
Артропластика подразумевает вправление сочленения.
Этмоидит
Этмоидит – острое или хроническое воспаление слизистой оболочки ячеек решетчатого лабиринта (анатомического лабиринта в переносице). Этмоидит имеет бактериальную или вирусную природу.
Различают острый и хронический этмоидит. Острый этмоидит сопутствует гриппу, риниту и дополняется воспалением околоносовых пазух.
Этмоидит у взрослых поражает одновременно лобные и гайморовы впадины. При слабом иммунитете острая форма этмоидита переходит в длительный хронический этмоидит с периодами обострения и ремиссии.
Полипозный этмоидит отличается появлением полипов в слизистой оболочке решетчатого лабиринта лба. Полипозный этмоидит может появиться после хронического, аллергического ринита.
Катаральный этмоидит возникает вследствие деятельности вирусов. Отличается повышенным слезотечением, слабостью, тошнотой, головокружением, отечностью в области переносицы, температурой.
Этмоидит у детей — очень серьезное заболевание. Инфекция распространяется очень быстро вследствие анатомического строения решетчатого лабиринта. При развитии этмоидита у детей нужна срочная госпитализация.
Симптомы этмоидита
Острый катаральный этмоидит. Симптомы
- боль в переносице и у крыльев носа;
- тяжелое дыхание через нос;
- потеря обоняния;
- головная боль, слабость;
- обильные выделения из носа, которые постепенно становятся гнойными;
- температура поднимается до 38 градусов;
- у детей отекает и краснеет и внутренний угол глазницы.
В острой форме различаются первичный и вторичный этмоидиты.
При первичном этмоидите появляются беспокойство, рвота, диспепсия и токсикоз, температура 39-40 градусов.
Вторичный этмоидит тяжелее протекает и быстрее развивается. Больной находится в крайне тяжелом состоянии с ярко выраженными септическими явлениями. Веки становятся отечными и синюшными, наблюдается отек конъюнктивы и заметное выпячивание глазного яблока, затрудняется носовое дыхание.
Хронический этмоидит. Симптомы
- головные боли, трудно регистрируемые по локализации;
- слабость, быстрое утомление больного;
- болезненность в переносице при нажатии и болезненные точки у крыльев носа;
- гнойные выделения с тошнотворным запахом;
- обширная слизь в носоглотке, которая с трудом отплевывается;
- появившиеся полипы.
Лечение этмоидита
Лечение этмоидита в острой форме преимущественно консервативное. Нужно обеспечить отток слизи с помощью сосудосуживающих средств и физиотерапевтических процедур.
Лечение этмоидита в хронической форме преимущественно оперативное.

1
МРТ в МедикСити

2
Лабораторная диагностика в МедикСити

3
УЗИ-исследование околоносовых пазух в МедикСити
Дерматилломания
Невроз лица и волосистой части головы может проявляться в таком поведенческом расстройстве как дерматилломания.
Ее основное проявление — расчесывание кожи лица и головы, но не по причине зуда, а по причине неудовлетворенности ее внешним видом. Сюда же относят навязчивое рвение выдавливать прыщи, счесывать корки, выдергивать волосы. Самоповреждающие действия вызывают кратковременное ощущение удовольствия, за которым следует чувство стыда, расстройства, неудовлетворенности.
Лицо таких больных покрыто шрамами и рубцами из-за постоянной травматизации кожи. Этот процесс не поддается контролю, и может возникать в любое время суток. Но чаще всего травмирующие действия осуществляются перед зеркалом.
К симптомам расстройства также относят привычку кусать губы и слизистую щек. Больных не останавливает перспектива покраснения, кровотечения, рубцевания кожных покровов. Они повторяют ритуал изо дня в день. Он длится от нескольких минут до часа.
Спровоцировать подобные действия способны ощущения страха, тревоги, пристальное обследование своей кожи от нечего делать.
Дерматилломания описывается как состояние зависимости. Начинается оно с концентрации внимания на, как кажется больному, дефекте кожи
Постепенно внимание все чаще заостряется на этой детали. Человек начинает думать, что болен чем-то серьезным
Это провоцирует у него раздражительность и нервозность, приводит к навязчивым действиям.
Первопричина заболевания уходит своими корнями в психологическое состояние человека и кроется в неудовлетворенности собой, разгневанности, чувстве стыда и злобы. Травмирующие ритуалы – это способ наказания, самобичевания.
Лечение данной патологии требует вмешательства психотерапевта и дерматолога.
Главный метод терапии зависимости — психотерапия, в частности, когнитивно-поведенческая.
Снизить тревожность, отвлечься и расслабиться помогут йога, физические упражнения, релаксирующие процедуры, а также любое хобби, которое поглотит человека с головой и поможет переключить внимание. Помощь дерматолога необходима для ликвидации кожных поражений с целью предотвратить их инфицирование и снизить степень дерматологического дефекта
Помощь дерматолога необходима для ликвидации кожных поражений с целью предотвратить их инфицирование и снизить степень дерматологического дефекта.






























