Задумывались ли вы, сколько времени ваши дети проводят перед экранами гаджетов? В современном мире это стало обыденностью, но может ли это увлечение быть опасным для их здоровья? По данным исследований, чрезмерное экранное время может быть связано с повышенным риском развития онкологических заболеваний у детей. Это серьезный повод для беспокойства, ведь здоровье ребенка – самое ценное, что у нас есть. В этой статье мы подробно рассмотрим связь между экранным временем и риском онкологии, а также обсудим профилактику, диагностику и лечение.
Что такое онкологические заболевания у детей
Онкологические заболевания у детей – это группа злокачественных новообразований, которые могут развиваться в различных органах и тканях. К счастью, детская онкология составляет лишь небольшой процент от всех случаев рака, примерно 1-2%. Однако, несмотря на это, онкологические заболевания остаются одной из основных причин детской смертности. Факторы риска включают генетическую предрасположенность, воздействие вредных веществ и, как показывают последние исследования, чрезмерное экранное время.
Экранное время: Что это такое
Экранное время – это общее количество времени, которое ребенок проводит, глядя на экраны различных устройств: смартфонов, планшетов, телевизоров, компьютеров и игровых приставок. Современные дети проводят перед экранами в среднем от 3 до 7 часов в день, а у некоторых этот показатель значительно выше. Виды устройств, которые используют дети, разнообразны: от просмотра мультфильмов на планшете до онлайн-игр на компьютере и общения в социальных сетях на смартфоне.
Влияние экранного времени на здоровье детей
Влияние экранного времени на здоровье детей многогранно. Во-первых, это негативно сказывается на физическом здоровье: гиподинамия, ожирение, проблемы со зрением. Во-вторых, чрезмерное увлечение гаджетами может привести к психическим проблемам: тревожность, депрессия, нарушения сна. Нарушения сна, в свою очередь, влияют на развитие и когнитивные функции ребенка. Я сам заметил, как мой младший сын стал раздражительным и невнимательным после длительного просмотра мультфильмов.
Связь между экранным временем и риском онкологии
Связь между экранным временем и риском онкологии – это относительно новая область исследований. Несколько исследований показали, что дети, которые проводят много времени перед экранами, имеют повышенный риск развития определенных видов рака, таких как лейкемия и опухоли головного мозга. Механизмы воздействия до конца не изучены, но предполагается, что это связано с нарушением циркадных ритмов, снижением выработки мелатонина (гормона, обладающего антиоксидантными свойствами) и воздействием синего света, излучаемого экранами. Я помню, как читал статью о том, что мелатонин играет важную роль в регуляции иммунной системы, и это заставило меня задуматься о влиянии гаджетов на здоровье моих детей. Недавние исследования также указывают на связь между недостатком физической активности, вызванной длительным сидением перед экраном, и повышенным риском развития рака.
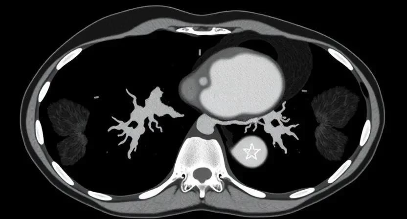
Компьютерная томография (КТ) в диагностике детского рака
Компьютерная томография (КТ) – это важный метод диагностики детского рака. КТ позволяет получить детальные изображения внутренних органов и тканей, что помогает выявить опухоли и оценить их размер и распространение. Подготовка к исследованию включает в себя ограничение приема пищи и, в некоторых случаях, введение контрастного вещества. Важно помнить, что КТ связана с воздействием ионизирующего излучения, поэтому ее следует проводить только по назначению врача и с соблюдением всех мер предосторожности. Я был свидетелем того, как КТ помогла врачам точно определить стадию заболевания у маленького пациента, что позволило выбрать наиболее эффективный план лечения.
Симптомы онкологических заболеваний у детей
Симптомы онкологических заболеваний у детей могут быть разнообразными и зависят от типа рака и его локализации. Общие симптомы включают необъяснимую усталость, потерю веса, лихорадку, боли в костях и суставах. Специфические симптомы могут включать увеличение лимфатических узлов, появление синяков или кровотечений, изменения в поведении и неврологические симптомы. Важно обратиться к врачу, если вы заметили какие-либо необычные симптомы у вашего ребенка. Не стоит заниматься самодиагностикой и самолечением, ведь ранняя диагностика – это ключ к успешному лечению.
Симптомы онкологических заболеваний у детей
| Симптом | Описание | Возможный тип рака | Срочность обращения к врачу |
|---|---|---|---|
| Усталость | Постоянная усталость, не проходящая после отдыха | Лейкемия, опухоли головного мозга | Немедленно |
| Лихорадка | Повышенная температура тела без видимой причины | Лейкемия, лимфома | В течение нескольких дней |
| Боль в костях | Постоянная боль в костях, не проходящая после приема обезболивающих | Лейкемия, остеосаркома | В течение нескольких дней |
| Увеличение лимфатических узлов | Увеличение лимфатических узлов без видимой причины | Лимфома, лейкемия | В течение нескольких дней |
| Синяки или кровотечения | Появление синяков или кровотечений без видимой причины | Лейкемия | Немедленно |
Профилактика онкологических заболеваний у детей
Профилактика онкологических заболеваний у детей включает в себя снижение экранного времени, здоровый образ жизни, вакцинацию и регулярные осмотры. Рекомендуется ограничивать экранное время до 1-2 часов в день для детей старше 2 лет. Важно обеспечить ребенку достаточное количество физической активности, здоровое питание и полноценный сон. Вакцинация против вируса папилломы человека (ВПЧ) может помочь предотвратить развитие рака шейки матки. Регулярные осмотры у педиатра и онколога помогут выявить заболевания на ранней стадии. Я стараюсь привить своим детям любовь к активному образу жизни и ограничить их время, проводимое перед экранами.
Диагностика онкологических заболеваний у детей
Диагностика онкологических заболеваний у детей включает в себя различные методы: физический осмотр, анализы крови, визуализирующие исследования (КТ, МРТ, УЗИ) и биопсию. Этапы обследования могут включать сбор анамнеза, физический осмотр, проведение анализов крови и мочи, проведение визуализирующих исследований и, при необходимости, биопсию. Важность ранней диагностики трудно переоценить, ведь чем раньше будет выявлено заболевание, тем выше шансы на успешное лечение. Я знаю случаи, когда ранняя диагностика спасла жизнь ребенку.

Лечение онкологических заболеваний у детей
Современные методы лечения онкологических заболеваний у детей включают хирургическое лечение, химиотерапию, лучевую терапию и иммунотерапию. Выбор метода лечения зависит от типа рака, его стадии и общего состояния ребенка. Лечение проводится в специализированных центрах, где работают опытные врачи и медицинский персонал. Поддержка семьи играет важную роль в процессе лечения. Я восхищаюсь мужеством и стойкостью детей, которые борются с раком, и их родителей.
Психологические и социальные аспекты
Онкологическое заболевание – это серьезный стресс для ребенка и его семьи. Важно обеспечить ребенку и его семье психологическую поддержку и помощь. Адаптация к болезни может быть сложной, но важно помнить, что есть люди, которые готовы помочь. Психологическая помощь может включать индивидуальную терапию, групповую терапию и семейную терапию. Я считаю, что поддержка близких и друзей – это очень важно для ребенка, который борется с раком.

Часто задаваемые вопросы
Вопрос: Сколько экранного времени безопасно для детей?
Ответ: Рекомендуется ограничивать экранное время до 1-2 часов в день для детей старше 2 лет.
Вопрос: Какие симптомы должны насторожить родителей?
Ответ: Необъяснимая усталость, потеря веса, лихорадка, боли в костях и суставах, увеличение лимфатических узлов, появление синяков или кровотечений.
Вопрос: Как можно снизить риск развития онкологических заболеваний у детей?
Ответ: Снижение экранного времени, здоровый образ жизни, вакцинация и регулярные осмотры.
Рекомендации по ограничению экранного времени
| Возраст | Рекомендации |
|---|---|
| Младше 18 месяцев | Избегать экранного времени, кроме видеозвонков с близкими |
| 18-24 месяца | Ограниченное использование образовательных программ в присутствии родителей |
| 2-5 лет | Ограничить экранное время до 1 часа в день качественными программами |
| 6 лет и старше | Установить разумные ограничения на время и тип контента |
| Все возрасты | Не использовать экранное время перед сном |
Методы диагностики онкологических заболеваний у детей
| Метод | Описание | Преимущества | Недостатки |
|---|---|---|---|
| Физический осмотр | Осмотр ребенка врачом | Простота, доступность | Не всегда позволяет выявить заболевание на ранней стадии |
| Анализы крови | Исследование крови на наличие признаков рака | Позволяет выявить некоторые виды рака | Не всегда информативен |
| КТ | Получение детальных изображений внутренних органов | Высокая информативность | Воздействие ионизирующего излучения |
| МРТ | Получение детальных изображений внутренних органов | Высокая информативность, отсутствие ионизирующего излучения | Дорогостоящий метод |
| Биопсия | Взятие образца ткани для исследования | Наиболее точный метод диагностики | Инвазивный метод |
